¿Por Qué Sangran las Encías?

¿Por Qué Sangran las Encías? El sangrado de encías suele ser un síntoma de gingivitis, la etapa inicial de la enfermedad periodontal. La principal causa de la gingivitis es la acumulación de placa bacteriana en la línea de las encías. Esta placa se forma cuando los restos de alimentos y las bacterias no se […]
Tecnología CAD-CAM

Tecnología CAD-CAM, ayudando a mejorando sonrisas. En nuestro esfuerzo constante por brindarle lo mejor, en Clínicas Linea Dental estamos complacidos de presentarles nuestra ultima adquisición, la tecnología CAD-CAM. Una de las mayores ventajas de esta tecnología es la inmediatez, permitiendo diseñar, fabricar y colocar restauraciones en una sola visita. Ya no hay que utilizar los […]
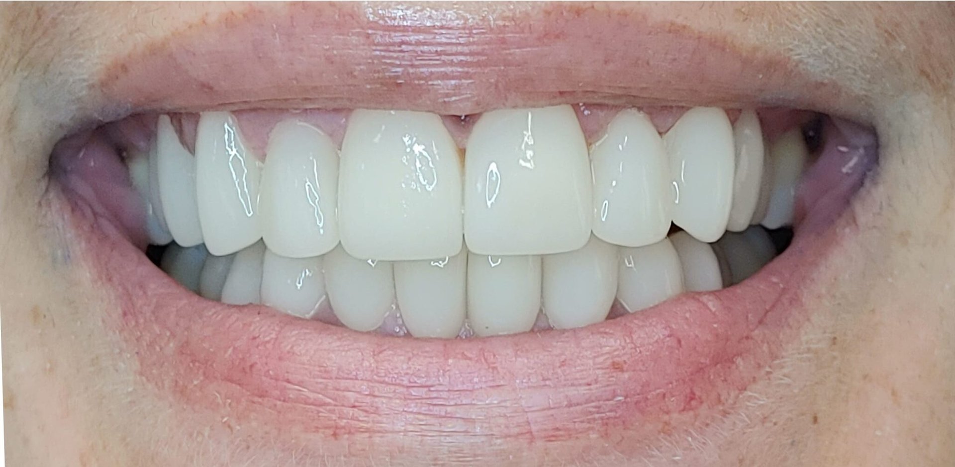
Coronas dentales, cambiando vidas

Coronas dentales, cambiando vidas Hoy queremos compartir con ustedes un caso que nos ha llenado de satisfacción en nuestra clínica dental. Se trata de una paciente que llegó desde Albacete a nosotros, con muchos complejos por sus dientes. Su sonrisa no era la que ella deseaba y esto le afectaba tanto […]
Alimentos que no debes tomar si llevas ortodoncia

Alimentos que no debes tomar si llevas ortodoncia Tanto como si te acaban de poner los brackets como si estas ya contando los días para que te los retiren definitivamente, debes saber que hay una serie de alimentos que es mejor evitar durante el proceso que dure tu ortodoncia. Pero antes de meternos de lleno […]
Odontopediatría, todo lo que necesitas saber

Odontopediatría, todo lo que necesitas saber Este artículo va dedicado a los padres y madres, para que conozcan que es la odontopediatría y la importancia del seguimiento de la salud bucodental de sus hijos. La odontopediatría es la especialización en niños dentro de la odontología. Por lo tanto un odontopediatra es un médico odontólogo especializado en […]
¡Caries a la vista! ¿Qué es y cómo puedo prevenirla/tratarla?

¡Caries a la vista! ¿Qué es y cómo puedo prevenirla/tratarla? Si en algún momento has padecido caries en alguna de tus piezas dentales sabrás que es bastante molesto y que puede cursar también con dolor dental o gingival. Debes saber que el tipo de alimentación y rutinas de higiene dental que seguimos tienen mucho que […]
Ortodoncia Invisible para una sonrisa perfecta

Ortodoncia Invisible para una sonrisa perfecta No renuncies a una sonrisa perfecta, la Ortodoncia Invisible, es la solución. La sonrisa es un aspecto clave en la imagen personal. Son muchos los casos de inseguridad y falta de autoestima por no tener la sonrisa deseada. La estética dental puede verse desfavorecida por un malposicionamiento dental o […]
Qué causa el mal aliento y cómo prevenirlo

Qué causa el mal aliento y cómo prevenirlo ¿Qué causas pueden provocar mal aliento en nuestra boca? Son diversas las causas que pueden provocar en nuestra boca un aliento desagradable que nos lleve a recurrir, en vano, especialmente al uso de chicles, caramelos mentolados y enjuagues bucales con acción antiplaca y antibacteriana. Lo más importante […]
Alimentación correcta para unos dientes sanos

Alimentación correcta para unos dientes sanos La alimentación y la salud de nuestra boca van de la mano. Además de la importancia de la higiene para mantener nuestros dientes sanos, también toma protagonismo una buena y correcta alimentación. Hay alimentos que por su composición natural, contribuyen a favorecer la salud y el buen estado de […]
Clínica Linea Dental【5 consejos para unos dientes sanos estas Navidades】

5 consejos para unos dientes sanos estas Navidades Se acerca la Navidad, y nos encanta! Reuniones familiares, comilonas, celebraciones… pero cuidado! no por ello debemos descuidar nuestros dientes. En el siguiente post te aconsejamos de parte de nuestro equipo de especialistas sobre como cuidar la salud de tu boca durante estas fechas. Pero tranquilos que […]